Blogs

How Digital Image Analysis Strengthens H&E Staining Quality Control

  

Listen to Article

Hematoxylin and eosin (H&E) staining underpins nearly every diagnostic and research decision made in histology laboratories. With thousands of slides processed daily, even small fluctuations in staining quality can compromise reproducibility, turnaround times, and ultimately patient care. Yet, most laboratories still rely on subjective visual checks to monitor reagent performance. A new study “Utilizing image analysis by optical density to evaluate changes in hematoxylin and eosin staining quality after reagent overuse” published in the Journal of Histotechnology demonstrates how digital image analysis can quantify subtle changes in stain intensity caused by reagent overuse and offers a roadmap for laboratories to implement more objective quality-control practices.

Inside the Study

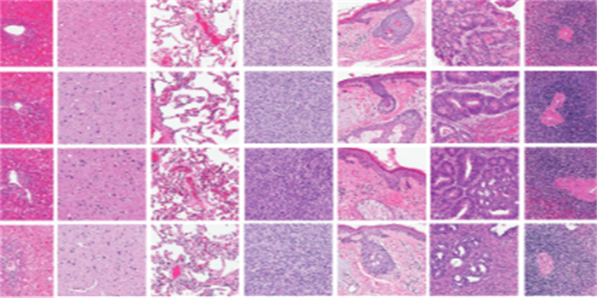
The researchers combined two large-scale projects evaluating 12 human and porcine tissues stained with reagents from five major vendors. Standardized automated stainers ensured consistent processing. Each batch of slides was then evaluated in two ways:

  • Manual review by certified histotechnologists and pathologists using CAP and NSH criteria.
  • Digital analysis using a customized optical density algorithm to quantify hematoxylin and eosin intensity across thousands of tissue cores.

This approach allowed a direct comparison between what the human eye sees and what a computer can measure.

What They Found

  • Eosin fades first. Across vendors and tissues, eosin staining intensity consistently decreased with reagent overuse, sometimes visibly and sometimes only detectable by OD analysis. Hematoxylin remained largely stable.
  • Diagnostic standards were maintained. Even after heavy reagent use, slides met CAP and NSH criteria for evaluation by a pathologist.
  • Tissue type matters. Cytoplasm-rich tissues like skin and thyroid were more sensitive to eosin changes than nuclei-rich tissues like spleen.
  • Xylene overuse showed no harm. Despite exceeding recommended slide counts, no incomplete deparaffinization or eosin bleeding occurred, hinting at possible cost and waste savings for labs.
  • Digital analysis gives early warning. The OD data picked up subtle, progressive changes in stain quality long before they became obvious under the microscope.

Why It’s Important for Your Lab

This work makes a strong case for moving beyond subjective, occasional visual checks toward a structured, data-driven QC program. Digital OD analysis can help your lab:

  • Build evidence-based reagent rotation schedules instead of relying on rules of thumb.
  • Detect changes early enough to adjust before diagnostic quality is affected.
  • Optimize staining protocols for all tissue types you process — not just one.
  • Even without slide scanners, a semi-quantitative scoring system based on routine checks can improve consistency. But for labs already using digital pathology tools, incorporating OD-based QC is a straightforward way to leverage existing infrastructure for better results.

The Bottom Line

Benton et al.’s study shows that while H&E staining quality generally stays acceptable even under heavy reagent use, measurable declines — especially in eosin — do occur. Digital image analysis isn’t just a fancy add-on; it’s a practical tool that can help histology labs stay ahead of quality issues, safeguard diagnostic accuracy, and reduce waste.

As digital pathology becomes more common, adopting OD-based QC methods can help your laboratory align with the future of histotechnology: precise, reproducible, and data-driven.

To read the full study “Utilizing image analysis by optical density to evaluate changes in hematoxylin and eosin staining quality after reagent overuse”, please click here. Members can access the full September issue of the Journal of Histotechnology through their dashboard and clicking the Journal of Histotechnology

References

Benton, H. M., Butters, M., Brous, M., Bolon, B., Copeland, K., Fortin, J. S., & Chlipala, E. (2025). Utilizing image analysis by optical density to evaluate changes in hematoxylin and eosin staining quality after reagent overuse. Journal of Histotechnology48(3), 123–134. https://doi.org/10.1080/01478885.2025.2517906

Article overview written with AI chatbot assistance. 


#2025
#Blog
#JOH

0 comments
29 views

Permalink