Fixation on Histology

Enhanced Method for PGP 9.5 Immunohistochemical Labeling in Small Fiber Neuropathy

  

Listen to Article

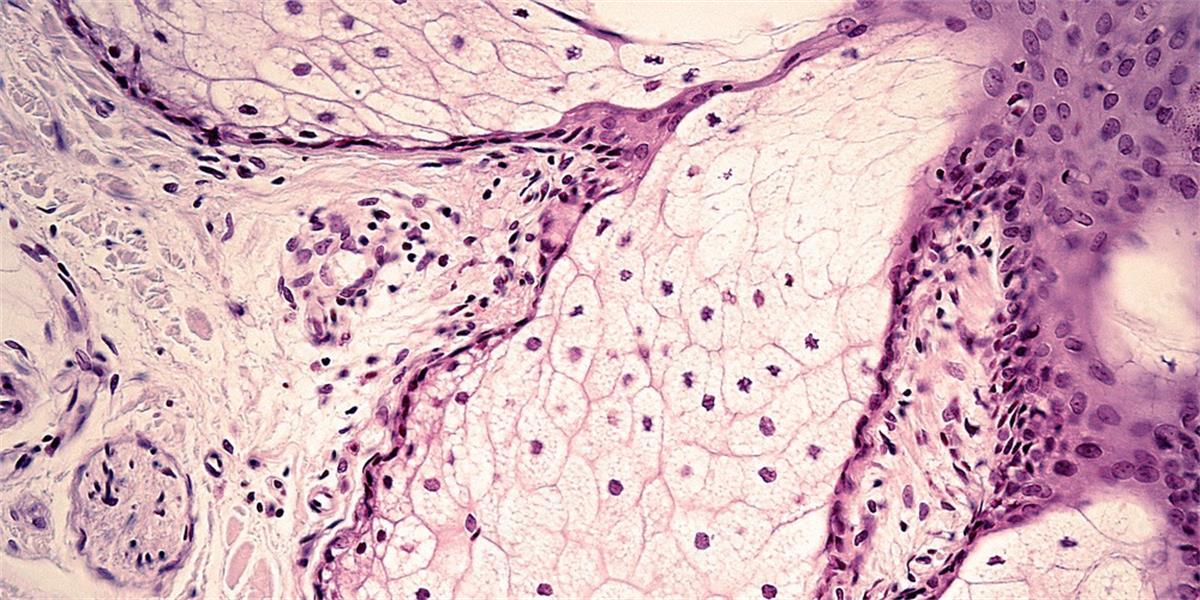
Small fiber neuropathy (SFN) — a condition frequently associated with diabetes and other disorders — can manifest as pain, weakness, or numbness. Traditionally, the gold standard for SFN diagnosis involves skin biopsy with specialized staining methods. However, many pathologists avoid using formalin-fixed, paraffin-embedded (FFPE) samples due to technical obstacles stemming from cross-linkage. This new study, “A study of PGP 9.5 immunohistochemical labeling on formalin-fixed paraffin-embedded tissues for epidermal nerve fiber density testing” by Joseph A. Esposito, Camryn J. Vader, Joel R. Israel, and Steve A. McClain and published in the Journal of Histotechnology, shows a powerful way forward — employing heat-induced epitope retrieval (HIER) alongside PGP 9.5 immunohistochemical labeling in FFPE skin samples — yielding high-fidelity results previously thought impossible.
 

Methods that Combine Standard Processes with Innovation

This study involved processing over 1,000 skin punch biopsy samples, following a carefully optimized method:
 
  • Antigen Retrieval: Tissues were deparaffinized and incubated at 92°C for 1 hour in a retrieval solution, unlocking their ability to retain PGP 9.5 staining.
  • Antibody Staining: A rabbit polyclonal PGP 9.5 antibody was used to highlight epidermal nerves, following standard blocking, secondary, and chromogenic visualization steps.
  • Pathologic Review: A pathologist then manually counted the number of epidermal nerves per millimeter of epidermis, employing previously recognized practices for small fiber neuropathy diagnosis.

Consistent and Reliable Staining Quality

Using this procedure, all 1,000 cases were successfully stained with PGP 9.5, yielding a high number of epidermal nerves per millimeter of epidermis. The range fell well within previously documented normal controls, validating the method’s accuracy. Importantly, this approach lets pathologists cut multiple, thinner (8 µm) sections, retaining sufficient material for additional assays — a key advantage when working with small, limited samples.
 

Breaking down Barriers to Small Fiber Neuropathy Diagnoses

This study directly challenged the notion that formalin-fixed, paraffin-embedded skin cannot be used to accurately identify small fiber abnormalities. Instead, employing heat-induced epitope retrieval with PGP 9.5 enables pathologists to perform a standard, reproducible, and diagnostically accurate evaluation. This procedure paves the way for more extensive and reliable small fiber neuropathy diagnostics, using standard pathology workflows with materials already available in many labs.
 
This new method brings a powerful tool to aid in the accurate diagnosis of small fiber neuropathy — advancing patient care and strengthening diagnostic practices. To read the full article, check out the June 2025 issue of the Journal of Histotechnology (NSH Members please visit your NSH Dashboard and click Journal of Histotechnology)

References

Esposito, J. A., Vader, C. J., Israel, J. R., & McClain, S. A. (2024). A study of PGP 9.5 immunohistochemical labeling on formalin-fixed paraffin embedded tissues for epidermal nerve fiber density testing. Journal of Histotechnology48(2), 103–108. https://doi.org/10.1080/01478885.2024.2405418 

Article overview written with AI chatbot assistance. 


#2025
#Blog
#JOH


#2025
#Blog
#JOH
#GeneralAnatomicPathology
0 comments
44 views

Permalink